Ứng dụng AI nâng tầm cuộc sống

Thứ ba - 17/06/2025 20:00
Các sinh viên Bách khoa nghiên cứu ứng dụng AI tại Viện AI4Life, ĐHBK Hà Nội
Các sinh viên Bách khoa nghiên cứu ứng dụng AI tại Viện AI4Life, ĐHBK Hà Nội
Tháng 10/2024, Đại học Bách khoa Hà Nội thành lập Viện AI4Life nhằm tiếp nối và nâng tầm nghiên cứu ứng dụng Trí tuệ nhân tạo (AI) liên ngành tại Nhà trường. PGS. Nguyễn Phi Lê - Phụ trách Viện AI4Life rất tự hào khi hiện tại, các hướng nghiên cứu tại AI4Life đã kết nối gần như tất cả các ngành và lĩnh vực tại Bách khoa, như: Môi trường, Khoa học sự sống, Giáo dục, Bán dẫn, Hệ thống thông minh,… cho ra các kết quả nghiên cứu nâng tầm cuộc sống.

Đặc biệt, vượt qua những khó khăn về nhân lực, năm 2025, nhóm nghiên cứu của PGS. Lê đã có những kết quả nghiên cứu AI liên ngành nổi bật trong lĩnh vực Y tế và Môi trường, truyền cảm hứng, xây dựng được một đội ngũ sinh viên Bách khoa đam mê, gắn bó với Viện AI4Life. Đây chính là những nhà khoa học tương lai, cống hiến trí lực cho NCKH trong lĩnh vực AI của Việt Nam.
 
1
Trong bối cảnh biến đổi khí hậu đang diễn ra phức tạp và khó lường, việc ứng dụng AI nâng cao hiệu quả dự báo khí tượng, thủy văn là một xu hướng tất yếu
Ứng dụng AI trong dự báo khí tượng, thủy văn

Nhóm nghiên cứu của PGS. Nguyễn Phi Lê tập trung vào 3 trục chính: Phát triển các công nghệ lõi của AI; Ứng dụng AI trong Y tế; Ứng dụng AI trong Môi trường và Biến đổi khí hậu.

“Nhóm nghiên cứu chúng tôi đã theo đuổi hướng nghiên cứu ứng dụng AI trong Y tế, trong Môi trường và Biến đổi khí hậu từ lâu. Đây là 2 bài toán lớn của Việt Nam, có ảnh hưởng, tác động đến cuộc sống của nhiều người. Nếu chúng ta có thể ứng dụng công nghệ cao - đặc biệt là AI - để giải quyết các bài toán này thì sẽ giúp ích cho rất nhiều người dân Việt Nam.” - PGS. Nguyễn Phi Lê cho biết.

Từ năm 2019, PGS. Nguyễn Phi Lê đã bắt đầu các nghiên cứu ứng dụng AI nhằm hiệu chỉnh ảnh mưa vệ tinh, ứng dụng AI trong quan trắc không khí, ô nhiễm môi trường,…

Năm 2024, PGS. Nguyễn Phi Lê bắt đầu hợp tác với Trung tâm Dự báo Khí tượng thủy văn Quốc gia để ứng dụng AI xây dựng mô hình nền tảng (foundation model) cho các dữ liệu liên quan đến thời tiết, khí hậu, khí tượng, thủy văn,… của Việt Nam. Kết quả của nghiên cứu sẽ tạo nền móng cho các nghiên cứu sau về ứng dụng AI trong lĩnh vực này. Những giải pháp này sẽ giúp các dự báo viên nâng cao độ chính xác trong công tác dự báo khí tượng, thủy văn.

Hiện nhóm nghiên cứu đã có những kết quả bước đầu khả quan đối với bài toán dự báo cường độ bão và dự báo lượng mưa theo mùa. Cụ thể, nhóm đã thiết kế các mô hình học sâu, ứng dụng những công nghệ mới nhất trong lĩnh vực AI. Kết quả huấn luyện và kiểm thử trên bộ dữ liệu của Việt Nam cho thấy mô hình do nhóm đề xuất có sai số dự đoán thấp hơn nhiều so với các mô hình hiện có tại Việt Nam và trên thế giới.

Đây là những bài toán có sức ảnh hưởng lớn đến nhiều người. Và thật đáng mừng khi các bài toán này đều có thể giải quyết được bằng AI với nghiên cứu của cô trò Đại học Bách khoa  Hà Nội.
 
z6597185308928 d65671a663b0881206beb1f5e9fc7223
PGS. Nguyễn Phi Lê - Phụ trách Viện AI4Life, ĐHBK Hà Nội
Giúp bác sĩ có trợ lý phân tích ảnh giải phẫu bệnh không biết mệt

PGS. Nguyễn Phi Lê đặc biệt tâm đắc với hướng nghiên cứu ứng dụng AI trong chăm sóc sức khỏe. “Ngày trước, tôi từng mơ ước trở thành bác sĩ. Có lẽ vì mối duyên này mà bây giờ, bằng một cách nào đó, tôi lại có cơ hội làm công việc liên quan đến ngành Y!” - Chuyên gia về AI Phi Lê chia sẻ.

Ngay từ năm 2020, cô Phi Lê và các nhà khoa học Trường ĐH VinUni đã bắt đầu nghiên cứu ứng dụng AI trong lĩnh vực Y tế. Năm 2021, cô cùng đồng nghiệp tại Đại học Bách khoa Hà Nội và 4 nhà khoa học thuộc 3 trường ĐH Hoa Kỳ: ĐH Illinois, ĐH  Massachusetts, ĐH Florida xây dựng một hệ thống thông minh ứng dụng trí tuệ nhân tạo để hỗ trợ chăm sóc sức khỏe cho người Việt (VAIPE).Dự án do GS. Minh Đỗ làm chủ nhiệm và được Quỹ VinIF tài trợ nghiên cứu trong 3 năm, từ 2021 đến 2024.

Dự án VAIPE hướng tới xây dựng một nền tảng thông minh cho phép thu thập, quản lý và phân tích dữ liệu sức khoẻ của các cá nhân. Dữ liệu từ nhiều nguồn khác nhau, như: Thói quen sử dụng thuốc, nhịp tim, huyết áp và các chỉ số sức khoẻ khác được thu thập thông qua điện thoại thông minh và được phân tích nhằm đưa các khuyến cáo về việc sử dụng thuốc an toàn, cảnh báo uống nhầm thuốc và chẩn đoán sớm các bệnh lý.

Năm 2024, PGS. Nguyễn Phi Lê cùng các bác sĩ tại một bệnh viện lớn của Việt Nam triển khai nghiên cứu ứng dụng AI xử lý ảnh CT, ảnh PET; làm việc với nhóm bác sĩ giải phẫu bệnh Bệnh viện VinMec ứng dụng AI trong phân tích ảnh giải phẫu bệnh.

Mới đây, nhóm nghiên cứu hợp tác với các bác sĩ Đại học Y Hà Nội lên kế hoạch ứng dụng AI trong chẩn đoán các bệnh cấp cứu, mục đích giúp các bác sĩ có một trợ lý không biết mệt, không bị cảm xúc chi phối! Nếu thành công, nghiên cứu sẽ hỗ trợ các bác sĩ đưa ra chẩn đoán sớm, chính xác đúng bệnh và nguy cơ của bệnh, giúp giảm nguy cơ tử vong của bệnh nhân.

“Những bài toán mà chúng tôi đang giải quyết rất mới và thú vị. Thường AI được ứng dụng trong phát hiện bất thường ở ảnh X quang, phát hiện bất thường trong ảnh MRI,… Nhưng chúng tôi đang tìm lời giải cho nghiên cứu chưa ai triển khai tại Việt Nam - ứng dụng AI phân tích ảnh giải phẫu bệnh số” - PGS. Phi Lê hào hứng cho biết.
 
image 20210913150030 4
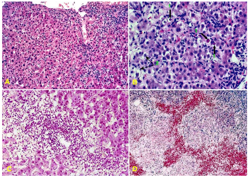
Hình ảnh giải phẫu bệnh phóng to
Thông thường, bác sĩ xem ảnh giải phẫu bệnh phải phóng to ảnh, xem tỉ mỉ, chi tiết từng tế bào. Mỗi lần các chuyên gia y tế phân tích xong một ảnh như vậy sẽ mất rất nhiều thời gian, có khi phải dành nguyên một ngày, không tránh khỏi bị quá tải, mỏi mắt, bỏ qua chi tiết nào đó trong chẩn đoán bệnh. Nếu có thể ứng dụng AI, máy móc sẽ tự động phân loại các hình ảnh, hỗ trợ các bác sĩ, giảm thời gian phân tích ảnh giải phẫu bệnh.

Trên thế giới cũng đã có một số nghiên cứu ứng dụng AI trong giải phẫu bệnh. Tuy nhiên, những kết quả nghiên cứu bước đầu của nhà khoa học Đại học Bách khoa Hà Nội đã gây ấn tượng với các công ty làm về ứng dụng AI trong lĩnh vực này. Một số công ty đích thân đến Bách khoa, thăm Viện AI4Life, đề xuất hợp tác để thương mại hóa sản phẩm.

Những nghiên cứu ứng dụng AI được PGS. Nguyễn Phi Lê cùng các thầy cô giáo Đại học Bách khoa Hà Nội triển khai là cơ sở góp phần giải quyết một trong các bài toán khó của Việt Nam trong lĩnh vực Y tế và Môi trường.
 

Trong bối cảnh ra đời của Nghị quyết 57 về đột phá phát triển khoa học công nghệ, đổi mới sáng tạo và chuyển đổi số quốc gia, nhiều “đốm lửa” như NCKH của PGS. Nguyễn Phi Lê sáng lên, việc Việt Nam sẽ ngang tầm với các nước trên thế giới về khoa học - công nghệ không còn là giấc mơ nữa.
 

Gia Hân
Bạn đã không sử dụng Site, Bấm vào đây để duy trì trạng thái đăng nhập. Thời gian chờ: 60 giây